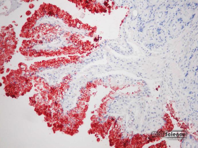
Other agents

Prior we started to work with Mycoplasma species, the research field of Miklós Gyuranecz was zoonotic bacterial diseases, including Bacillus anthracis, Brucella species, Francisella tularensis and Coxiella burnetii. Nowadays we still run some smaller research projects and contract works in the field of these bacteria.